PEI STAR™ transfection reagent

Pricing Availability   Qty

Save 26% on Select RUO Reagents. See Details

Description: Polyethylenimine (PEI) transfection reagent, chemically-defined
Chemical Name: Poly[imino(1,2-ethanediyl)] hydrochloride
Datasheet
Citations (1)
Reviews (4)
Protocols (7)

Biological Activity for PEI STAR™ transfection reagent

PEI STAR™ is a chemically-defined, high-performance polyethylenimine (PEI) transfection reagent for cost-effective, affordable and scalable transient gene expression. PEI is a synthetic polymer with an exceptionally high positive charge density in pH-neutral solutions. Positively charged PEI binds strongly to negatively charged DNA and imparts a net cationic charge, allowing the DNA to enter cells. PEI is a non-viral vector commonly used to transfect HEK293 and CHO cells. Applications include production of recombinant proteins, antibodies and viruses.

Pre-dissolved, ready-to-use formulation of PEI STAR™ also available: PEI STAR-Go™ transfection reagent (Cat. No. 8174).

For more information on how to use PEI STAR™ transfection reagent, see our protocols: PEI STAR™ Transfection Reagent Preparation, Gene Expression in Adherent HEK293 Cells, Gene Expression in CHO Suspensions, rAAV Production in Adherent HEK293 Cells, Gene Expression in HEK293 Suspensions, Lentivirus Production with PEI STAR™, rAAV Production in Suspension HEK293 Cells.

PEI STAR is a trademark of Bio-Techne Corp.

Scientific Data

Application of PEI STAR™ transfection reagent. PEI STAR™ performance data comparison (HEK293): HEK 293 - 20 mL cultures containing HEK293 suspensions were transfected with a CMV-SEAP plasmid at optimized PEI/DNA ratios using either PEI STAR™ (3:1) or leading competitor PEI. SEAP expression levels were quantified 5 days post-transfection using phosphatase reporter dye and UV/Vis absorbance.

Application of PEI STAR™ transfection reagent. PEI STAR™ performance data comparison (CHO): CHO - 20 mL cultures containing CHO suspensions were transfected with a CMV-SEAP plasmid at optimized PEI/DNA ratios using either PEI STAR™ (5:1) or leading competitor PEI. SEAP expression levels were quantified 5 days post-transfection using phosphatase reporter dye and UV/Vis absorbance.

Transfection of a reporter GFP construct using a leading competitor PEI and PEI STAR. HEK293 cells grown in DMEM/10% FBS to 75% confluency in a 24 well plate. 1 μg of DNA + 25 μL optimem and 2 μg of PEI (1 mg/mL) + 25 μL optimem were incubated for 8 minutes before addition to cells. PEI STAR showed significantly higher expression of GFP in imaged cells.

Protocols for PEI STAR™ transfection reagent

Please see the links below for protocols relating to the use of PEI STAR

Protocol Name Cell Type
PEI STAR Transfection Reagent preparation  
Gene Expression in Adherent HEK293 cells Adherent
rAAV Production in Adherent HEK293 Cells Adherent
Lentivirus Production in Adherent HEK293T Cells Adherent
Gene Expression in HEK293 Cell Suspensions Suspension
rAAV Production in Suspension HEK293 Cells Suspension
Gene Expression in CHO Suspensions Suspension

Technical Data for PEI STAR™ transfection reagent

Storage Store at RT
CAS Number 49553-93-7

The technical data provided above is for guidance only. For batch specific data refer to the Certificate of Analysis.

Tocris products are intended for laboratory research use only, unless stated otherwise.

Product Datasheets for PEI STAR™ transfection reagent

Certificate of Analysis / Product Datasheet
Select another batch:

References for PEI STAR™ transfection reagent

References are publications that support the biological activity of the product.

Boussif et al (1995) A versatile vector for gene and oligonucleotide transfer into cells in culture and in vivo: polyethylenimine. Proc.Natl.Acad.Sci.U.S.A 92 7297 PMID: 7638184

Longo et al (2013) Transient mammalian cell transfection with polyethylenimine (PEI). Methods Enzymol. 529 227 PMID: 24011049

Huang et al (2013) AAV2 production with optimized N/P ratio and PEI-mediated transfection results in low toxicity and high titer for in vitro and in vivo applications. J.Virol.Methods 193 270 PMID: 23791963

Trivedi et al (2021) Comparison of highly pure rAAV9 vector stocks produced in suspension by PEI transfection or HSV infection reveals striking quantitative and qualitative differences. Mol.Ther.Methods Clin.Dev. 24 154 PMID: 35071688

Han et al (2021) Aberrant role of pyruvate kinase M2 in the regulation of gamma-secretase and memory deficits in Alzheimer's disease. Cell Rep. 37 110102 PMID: 34879266


If you know of a relevant reference for PEI STAR™ transfection reagent, please let us know.

View Related Products by Target

Keywords: PEI STAR™ transfection reagent, PEI STAR™ transfection reagent supplier, polyethylenimine, PEI, transfection, reagent, non-viral, vector, HEK293, CHO, transient, gene, expression, Biochemicals, and, Molecular, Biology, 7854, Tocris Bioscience

1 Citation for PEI STAR™ transfection reagent

Citations are publications that use Tocris products. Selected citations for PEI STAR™ transfection reagent include:

Laomeephol et al (2024) Surface functionalization of virus-like particles via bioorthogonal click reactions for enhanced cell-specific targeting. Int.J.Pharm. 660 124332 PMID: 38866085


Do you know of a great paper that uses PEI STAR™ transfection reagent from Tocris? Please let us know.

Reviews for PEI STAR™ transfection reagent

Average Rating: 5 (Based on 4 Reviews.)

5 Star
100%
4 Star
0%
3 Star
0%
2 Star
0%
1 Star
0%

Have you used PEI STAR™ transfection reagent?

Submit a review and receive an Amazon gift card.

$25/€18/£15/$25CAN/¥75 Yuan/¥2500 Yen for a review with an image

$10/€7/£6/$10 CAD/¥70 Yuan/¥1110 Yen for a review without an image

Submit a Review

Filter by:


PEI STAR™.
By Anonymous on 09/06/2025
Assay Type: In Vitro
Species: Human
Cell Line/Tissue: HEK293

I used PEI as the transfection reagent to achieve overexpression of target proteins in HEK293 cells. The reagent worked really well and resulted in a very high transfection efficiency (~80%).

review image

Cost-Effective Transfections with PEI-Star: Our Experience.
By Manish Bhattacharjee on 04/11/2025
Assay Type: In Vitro
Species: Human

We used PEI-Star primarily for transfecting HEK293T cells to achieve protein overexpression and to produce third-generation Lentivirus. It has proven to be highly effective, allowing us to perform transfections at a significantly reduced cost without compromising the quality of the transfection process.

When preparing the PEI-Star solution at a concentration of 1 mg/ml, it’s crucial to note that significant pH changes can occur, particularly beyond pH 6. To manage this, we recommend using a very low molarity of NaOH (less than the standard 0.1N) or a reduced volume for pH adjustments. If the pH overshoots, there's no need to worry—a 0.1M HCl solution can effectively bring the pH back to 7.0 ± 0.1. We've observed that our transfections remain effective with this approach to pH adjustments.<br /><br />For transfection of HEK293T cells, we found that both 1:3 and 1:4 DNA:PEI-Star ratios yielded exceptionally high transfection efficiency. The PEI-Star concentration used was 1 mg/ml.

review image

test.
By Anonymous on 04/04/2025
Assay Type: In Vitro
Species: Human
Cell Line/Tissue: HEK293T

We evaluated the efficiency of GFP transfection using PEI star and found that it performs comparably to standard Lipofectamine-based reagents in HEK293t cells. When optimized, PEI-mediated transfection resulted in high GFP expression levels with minimal cytotoxicity, making it a cost-effective alternative for routine transfections.

review image

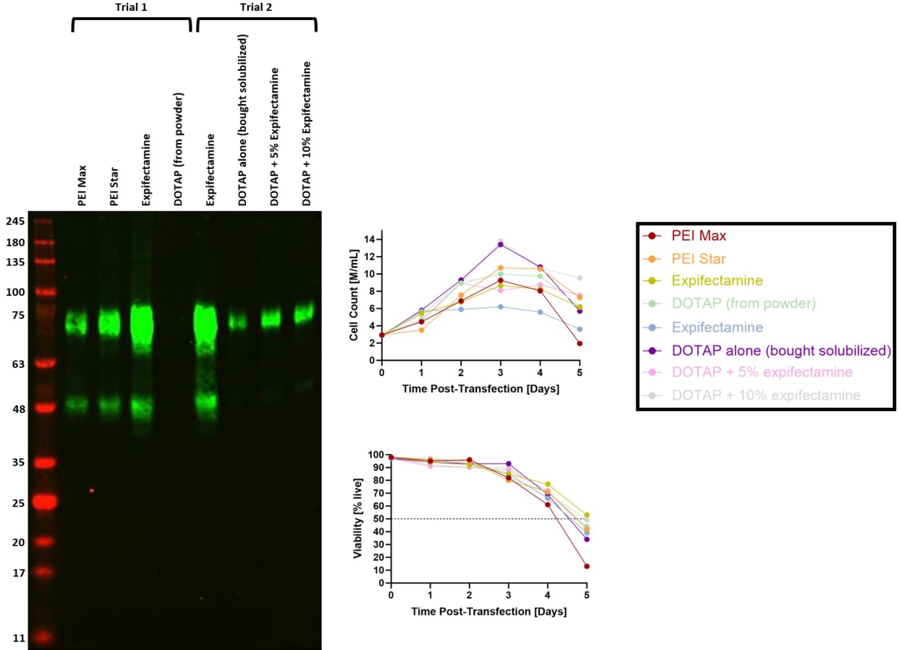
PEI STAR, Best Combo of Transfection Efficiency and Cost Effectiveness.
By Karen Linde-Garelli on 03/01/2024
Species: Human
Cell Line/Tissue: Expi293F

Our lab routinely works with various different protein targets, all ranging in levels of attainable overexpression. We tested various transfection reagents according to manufacture recommended protocols in hopes of recapitulating the closest efficiency to Expifectamine, but at a more affordable cost per liter of cell culture. Our data has made us big fans of PEI STAR! It clearly improves over PEI MAX, and it is the most cost-efficient alternative we’ve found so far compared to Expifectamine (which is far too expensive to be sustainable for us).

Expifectamine is nice for overall protein expression, but not to a degree where it compensates enough in total protein yield to be worth the high cost per liter of cell culture. Since DOTAP is the base lipid for the Expifectamine formulation, we wanted to know whether DOTAP alone and/or supplemented with Expifectamine would be a good compromise for price vs efficiency. However, we noticed that DOTAP has solubility issues and, in the end, it does not look great in our hands. Likewise, a rescue experiment with small supplementations of Expifectamine does improve efficiency to some degree, but not sufficiently to make it worth it – cost-wise – for large culture volume transfections. Lastly, we also compared two formulations of PEI: MAX vs STAR. PEI STAR appears to increase expression ~1.5-fold compared to PEI MAX. This seems to be because PEI MAX might be slightly more toxic than PEI STAR based on viability over time (otherwise, both PEI MAX and PEI STAR trend similarly). Ultimately, between all of these conditions, PEI STAR is the most effective transfection reagent we've found that meets efficiency and cost needs for routine R&amp;D in protein expression workflows.

review image